
Teeth and the Ageing Face
What role do teeth play in the ageing face?Teeth play an essential role in the appearance of the face, and their health and condition can significantly affect how a person looks as they age. As we get older, our teeth...
What role do teeth play in the ageing face?Teeth play an essential role in the appearance of the face, and their health and condition can significantly affect how a person looks as they age. As we get older, our teeth...
Here are Dr. Martina’s top oral hygiene tips.Maintaining good oral health is essential for overall health and well-being. Poor oral hygiene canlead to various dental and medical problems, such as tooth decay, gum disease, and even heartdisease. Here are the...
Dr Martina is nearly 50 and she wants you to know this about peri-menopause and menopause.Menopause is a natural biological process that marks the end of a woman's reproductive life. During menopause, the body goes through a series ofchanges that can...
At Martina Dental we promise you will be well cared for, and are excited to bring you the latest dental hygiene technology to ensure your dental experience is not only a positive one, but an effective visit too!
Our new Swiss-Made EMS AIRFLOW® and a Guided Biofilm Therapy treatment can benefit your smile in so many ways!
Have you always hated going to the dentist because of the painful scraping, mess, and cold water touching your teeth?
We are so please this doesn’t have to be the normal anymore! You can now experience stain-free, clean teeth without the pain! No more mess, no more nails scraping like noise on the blackboard and no more cold water. It’s time to give your teeth the best clean they’ve ever had!
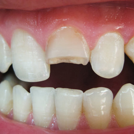
Myself, or my child has knocked out their front tooth, what actions should I take next? No one likes to see their kid or themselves in their reflection with half or no front tooth after an accident. This situation...
If your teeth and gums are already healthy, congratulations. You are ahead of the curve when it comes to most people’s oral health. But perhaps you don’t like the look of your smile. We would like to welcome you...
Teeth whitening—both kits you can purchase in shops and treatments you can obtain only at your dentist office—has been a popular way to improve your smile for a number of years. And for good reason. Teeth whitening is a...
Antioxidants can be applied topically to the skin from cosmeceutical’s, and can be ingested from the food we eat; such as leafy green vegetables, and fruit. Antioxidants are naturally occurring vitamins and minerals, such as; vitamins A, C and E,...
If you are snoring loud enough to keep your partner awake at night, and if you feel unrested even after being in bed for a substantial number of hours, you might be suffering from sleep apnoea. Most people don’t...
April is one of the most common months for weddings in Australia, and since it is just around the corner, it’s time for Winston Hills brides and grooms to start thinking about pre-wedding teeth whitening. At Martina Lavery Dental...
If you wake in the morning with tightness or soreness in your jaw, perhaps a little ulceration in your inner cheeks, headaches or teeth sensitivity, it’s possible that you could be suffering from Bruxism, or grinding your teeth while...