Skip to content
I'VE LOST A FRONT TOOTH - WHAT DO I DO?

I'VE LOST A FRONT TOOTH - WHAT DO I DO?

 

Myself, or my child has knocked out their front tooth, what actions should I take next?

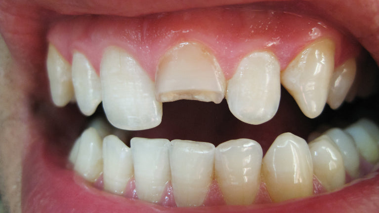
No one likes to see their kid or themselves in their reflection with half or no front tooth after an accident. This situation is of particular concern if the front tooth happens to be an adult tooth. The risk of not being able to save the tooth is quite low as long as the correct steps are taken to ensure the longevity of the tooth, and done within the first 15 minutes.

The first step is to find the tooth that has been knocked out, once the tooth is found, if it is an adult tooth it can be replanted into the socket.
Call your dentist immediately and see when they can slot you in. If you are to able to see them within the next hour, you can simply rinse the tooth if dirty, and hold the tooth in place in your mouth. Take care not to scrub or scrape any of the nerve out, as this helps with the success of the tooth being successful in being replanted.

If you aren’t seeing your dentist till later in the day, or they cannot attend for a few hours with after hours emergency, store your tooth in Milk.
Milk prolongs the life of the tooth until it is replanted.

If an accident like this does occur and it is not within our normal business hours, always text or email us, as there is always someone contactable for dental emergencies such as this.

While we are located in Baulkham Hills, we also service Northmead, Baulkham Hills, and Bella Vista areas. Call to manage your dental emergency.

Previous article Does Your dentist know more than teeth? - Podcast By Beaute Industries Featuring Dr. Martina Lavery
Next article COSMETIC DENTISTRY—FOR A SMILE THAT IS AS BEAUTIFUL AS IT IS HEALTHY